Clinical Case Study

Case Highlight: #14 Surgical Extraction, Ridge Preservation, and Sinus Augmentation

A staged approach for long-term implant success

When a tooth can’t be saved, a carefully sequenced plan makes all the difference.

This case documents the restoration of tooth #14 (upper left molar), combining ridge preservation, sinus augmentation, and precise implant placement for a stable and esthetic result.

Step 1 — Extraction & Ridge Preservation
The tooth was removed atraumatically, and a bone graft with a resorbable membrane was placed to maintain ridge contour and volume for future implant placement.

Step 2 — Healing Phase
After 5 months, the site showed excellent soft tissue health and bone regeneration — a strong foundation for the next stage.

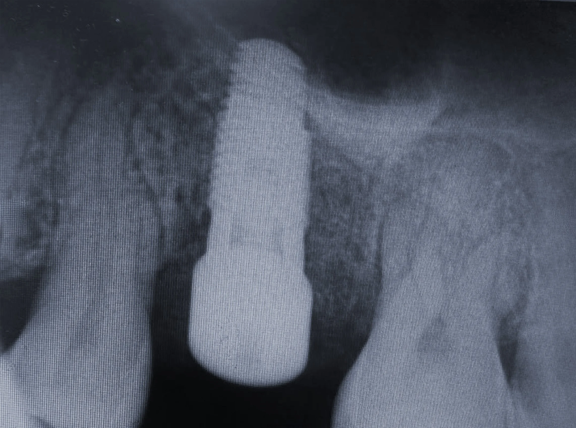
Step 3 — Implant Placement & Occlusal Sinus Lift
During implant placement, a sinus lift was performed to increase vertical bone height and ensure long-term stability. The implant achieved excellent primary stability and integration.

Why It Matters
This case illustrates the importance of proactive planning — preserving bone, supporting soft tissue health, and creating a predictable path toward natural, lasting restoration.

Every case begins with preservation — of bone, tissue, and confidence.

Disclaimer: This case study is intended for professional and educational purposes only. All clinical materials are anonymized in accordance with patient confidentiality standards.

Previous
Previous

Case Highlight: Treating Gum Recession (Teeth #3–6)